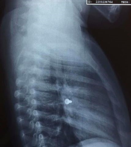
Η ζωή ενός μικρού κοριτσιού, μόλις 3 ετών, κινδύνευσε όταν κατάπιε μια βίδα η οποία κατέληξε στον αριστερό της πνεύμονα. Το περιστατικό συνέβη στο Ηράκλειο της Κρήτης.
Σύμφωνα με τα όσα έκανε γνωστά ο αναπληρωτής καθηγητής ΩΡΛ της Ιατρικής Σχολής Κρήτης, Μανώλης Προκοπάκης, το κοριτσάκι μεταφέρθηκε στο νοσοκομείο και αμέσως του έγιναν ακτινογραφίες που έδειξαν πού βρισκόταν η βίδα.
Οι γιατροί άμεσα οδήγησαν τo τρίχρονο παιδί στο χειρουργείο και μετά από αρκετή ώρα κατάφεραν να αφαιρέσουν την βίδα. Ο κ. Προκοπάκης σε ανάρτησή του στα social media ανέφερε: «Πολύ επείγον χειρουργείο! Πριν από λίγο. Αφαίρεση βίδας από αριστερό βρογχικό δέντρο τρίχρονου κοριτσιού. Πολύ επικίνδυνο…».



0 Σχόλια